烤瓷贴面视频,视频带你领略牙齿美容新境界

admin 热门大瓜 2026-02-16 135 0

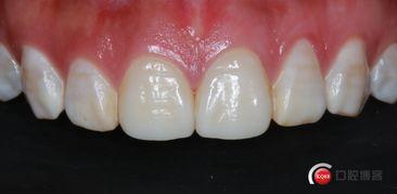
亲爱的读者们,你是否曾对着镜子,对着那颗不完美的牙齿发愁?别担心,今天我要给你带来一个神奇的解决方案——烤瓷贴面!没错,就是那种能让你的牙齿焕然一新的技术。接下来,让我们一起走进烤瓷贴面的世界,看看它是如何改变无数人的笑容的。

什么是烤瓷贴面?

烤瓷贴面,顾名思义,就是将一层薄薄的瓷质材料贴在牙齿表面,以此来改善牙齿的颜色、形状和排列。这种贴面材料具有极高的生物相容性,不会对人体造成伤害,而且颜色自然,几乎与真牙无异。

烤瓷贴面的优势

1. 美观自然:烤瓷贴面可以完美地模仿真牙的颜色和光泽,让你的笑容更加迷人。

2. 耐用性强:烤瓷贴面经过特殊工艺处理,具有很高的耐磨性和抗折性,使用寿命可达10年以上。

3. 舒适度佳:贴面材料与牙齿贴合紧密,不会引起不适感。

4. 修复范围广:无论是牙齿变色、形状不齐还是缺失,烤瓷贴面都能帮你解决。

烤瓷贴面的制作过程

1. 咨询医生:首先,你需要到专业的口腔医院进行咨询,医生会根据你的牙齿状况给出专业的建议。

2. 取模:医生会为你取牙齿的模型,以便制作出适合你的贴面。

3. 设计贴面:根据牙齿模型,医生会为你设计出个性化的贴面,确保其美观度和舒适度。

4. 制作贴面:将设计好的贴面送到专业的烤瓷工厂进行制作。

5. 试戴贴面:贴面制作完成后,医生会为你试戴,确保贴面符合你的要求。

6. 粘合贴面:医生会将贴面粘合在牙齿上,完成整个治疗过程。

烤瓷贴面的注意事项

1. 保持口腔卫生:贴面虽然耐用,但仍然需要你保持良好的口腔卫生习惯,定期刷牙、使用牙线等。

2. 避免硬物:在贴面粘合期间,尽量避免咬硬物,以免损坏贴面。

3. 定期复查:即使贴面已经粘合,也需要定期到医院进行复查,确保贴面的状态。

烤瓷贴面视频分享

为了让大家更直观地了解烤瓷贴面的过程,这里为大家分享一段烤瓷贴面视频。视频中,你可以看到医生如何为患者取模、设计贴面,以及贴面粘合的全过程。

[烤瓷贴面视频链接]

通过这段视频,相信你已经对烤瓷贴面有了更深入的了解。如果你正为牙齿问题而烦恼,不妨试试烤瓷贴面,让你的笑容更加自信、迷人!